Flock and Herd logo

CASE NOTES


Acute Primary Copper Poisoning in Sheep After a Footbath Accident

Erika Bunker and Patrick Staples, Elizabeth Macarthur Agricultural Institute, Menangle and Bruce Watt, Central Tablelands Local Lands Services, Bathurst

Posted Flock & Herd May 2022

Introduction

Primary copper poisoning occurs in sheep that are fed or treated with excess copper. It may be acute (from a single exposure) or chronic. Secondary copper poisoning is more commonly seen in sheep and occurs despite normal dietary intakes of copper. When secondary copper poisoning is seen with concurrent liver disease, it is referred to as hepatogenous chronic copper poisoning. Secondary copper poisoning also occurs without liver disease, especially on molybdenum deficient, subterranean clover-based pastures. This type of secondary copper poisoning is referred to as phytogenous chronic copper poisoning.

This paper describes a case of acute primary copper intoxication that occurred in lambs that either ingested or inhaled a footbath solution containing copper. The investigation provided an opportunity to examine the variable lesions and distribution of copper within organs, depending on the route of intake.

History

On a property near Lithgow in the Central Tablelands of New South Wales, 250 of 1,200 recently shorn crossbred lambs, weighing approximately 45 kg, were foot bathed in a solution containing copper nitrate trihydrate and copper chloride. Fifteen of the foot bathed lambs died overnight while none of the untreated lambs died. Initially the race enclosing the footbath had black rubber sides that were slightly V shaped. Some of the lambs that tried to climb out of the race tipped over. The dead lambs had blue staining over most of the body, confirming that they had fallen over in the copper solution.

Image of blue sheep
Figure 1. Three affected lambs showing fleece staining

Necropsy findings

Three freshly dead well grown lambs were necropsied on 29 December 2021. Lambs 1 and 2 had enlarged livers with rounded edges and an accentuated lobular pattern, while the kidneys and lungs were grossly normal. Lamb 3 had a grossly normal liver. On cut section its kidneys were friable and uniformly dark red, while its lungs were red and wet, with white foam in the trachea and 50 ml of straw-coloured fluid in the thorax. This fluid coagulated on exposure to air. This lamb also had a reddened abomasal mucosa.

Image of ovine liver enlarged with haemorrhages
Figure 2. Enlarged liver with haemorrhages, from Lamb 1
Image of ovine liver showing acinar haemorrhages
Figure 3. Liver from Lamb 1 showing acinar haemorrhages
Image of ovine lung
Figure 4. Lungs from Lamb 3
Image of ovine kidney, red and soft
Figure 5. Dark red soft kidney from Lamb 3

Histopathology

The livers of Lambs 1 and 2 with gross hepatic lesions showed marked acute periacinar and midzonal hepatocyte degeneration and necrosis with replacement haemorrhage, while the kidneys had no significant histological lesions. Lamb 3 had renal lesions of marked multifocal acute tubular degeneration and necrosis, while the liver showed only mild non-specific changes. This lamb also had pulmonary changes of multifocal alveolar oedema, congestion and mild interstitial pneumonia.

Photomicrograph of ovine liver showing hepatocyte injury and haemorrhage
Figure 6. Liver of Lamb 1. Periacinar pattern of hepatocyte injury with replacement haemorrhage (H&E, 12.5x).
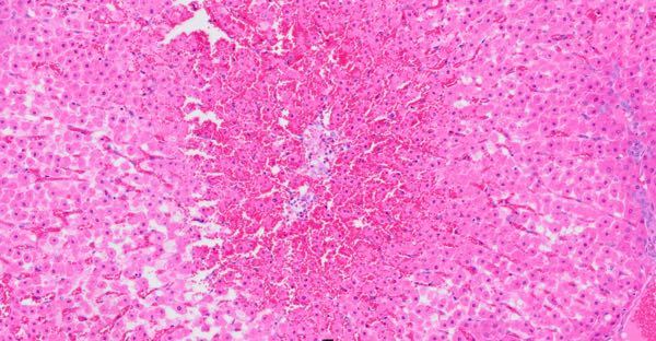
Photomicrograph of ovine liver showing necrosis and haemorrhage
Figure 7. Liver of Lamb 1. Periacinar to midzonal necrosis and degeneration with replacement haemorrhage (H&E, 50x).
Photomicrograph of ovine kidney showing tubular necrosis
Figure 8. Kidney cortex of Lamb 3. Acute tubular necrosis (H&E, 200x).
Photomicrograph of ovine lung showing congestion and intra-alveolar fluid
Figure 9. Lung of Lamb 3. Intra-alveolar proteinaceous fluid admixed with fibrin strands, congestion of alveolar septa with mild infiltration by neutrophils.

TOXICOLOGY

Liver and kidney samples from all three lambs were tested for copper at Regional Laboratory Services, Benalla.

Liver copper levels Kidney copper levels
Normal range 0.23-3.67 mmol/kg wet wt. 0.00-0.20 mmol/kg wet wt.
Lamb 1 5.54 0.41
Lamb 2 4.83 0.30
Lamb 3 3.08 0.92

Lambs 1 and 2 had elevated liver copper concentrations, while Lamb 3 had a high normal level. Kidney copper concentrations were high in all three lambs, however the concentration in Lamb 3 was two to three times higher than in Lambs 1 and 2.

Discussion

In most cases of copper poisoning, whether primary or secondary, death is usually associated with an acute haemolytic crisis with jaundice and haemoglobinuric nephrosis. In cases of chronic copper toxicity, liver damage is reflected in an increased rate of hepatocellular turnover, with individual hepatocytes undergoing apoptosis. While periacinar necrosis may be present in chronic copper intoxication, it is due to hypoxic damage secondary to haemolytic anaemia.

Lambs 1 and 2 both had acute periacinar hepatic necrosis, suggestive of a toxic or hypoxic cause. Lamb 3 had only mild hepatic changes, which were unlikely to be clinically significant. This lamb had very acute renal lesions, suggestive of a toxic or ischaemic cause, without evidence of haemoglobinuria.

Copper concentrations and lesions suggest that in Lambs 1 and 2, copper mainly exerted a toxic effect on the liver, while in Lamb 3 the kidney was mainly affected.

This investigation led us to conclude that Lambs 1 and 2 swallowed the copper solution (route of intoxication via the alimentary tract, portal system and liver); while the Lamb 3 aspirated it (intoxication occurring via the respiratory tract and systemic circulation, causing acute tubular necrosis on excretion through the kidney). In cases of haemoglobinuric nephrosis, the tubular damage is at least partly due to an ischaemia and excess haemoglobin. However, a direct toxic effect of copper, as appears likely in the present case, may also be a possibility. The lung lesions could be due to an irritant effect of inhaled solution on alveolar walls and capillaries, although no foreign material (which would have confirmed pulmonary aspiration) could be clearly identified in the lung section.

Of interest, there is no evidence of haemolytic disease in this case; the hepatic necrosis appears to be due to an acute primary hepatotoxic effect of copper. Periacinar hepatic necrosis without haemolytic crisis has been reported in experimental and field cases of acutely intoxicated sheep (Sharman, 1969), and has been seen in rare cases of suspected copper intoxication submitted to Elizabeth Macarthur Agricultural Institute.

In the literature, only one other report of copper intoxication associated with footbath chemicals was found. Ortolani et al. (2004) reported lesions in the alimentary tract, liver and kidney after sheep drank copper sulphate solution from a footbath.

References

  1. Sharman JR (1969). The laboratory confirmation of acute copper poisoning. New Zealand Veterinary Journal, 17:4, 67-69
  2. Ortolani et al. (2004). Acute poisoning of sheep from a copper sulfate footbath. Veterinary Human Toxicol. 46, 6, 315-318

 


Site contents Copyright 2006-2026©