Anthrax is not uncommon in parts of the Riverina Livestock Health and Pest District. In an area between Deniliquin and Jerilderie half of the properties have had at least one animal diagnosed with anthrax during the past 40 years.
Typically anthrax causes sudden death with no observed illness. Most veterinarians in the area when consulted about a sudden death in the endemic area during the summer months will examine a blood smear stained with polychrome methylene blue under a microscope with an oil immersion objective before proceeding with a post-mortem.
A series of events led to diagnosis of anthrax being delayed and several areas being contaminated with Bacillus anthracis.
A landholder within the anthrax endemic area reported merino wethers which appeared to be unwell for several days before dying. He reported that one had died whilst he had been handling the mob and asked if he could bring it in for post-mortem examination.
Because the history was not of sudden death I agreed that he should bring the carcass in so that I could conduct an autopsy.
A well-nourished 18 month old merino wether was presented freshly dead with pale skin and membranes with a bloody discharge from the nostrils and bloodstained urine.
The carcass was taken to a TSR near Deniliquin where the local council maintained a dead stock pit and where we routinely conduct autopsies of carcasses which are brought into town. Until that time the carcass had only been on the owner's utility with a steel tray.
The first cut of the autopsy revealed multiple small haemorrhages. This was consistent with anthrax so the autopsy was suspended and personal disinfection completed.
A thick blood smear was prepared, fixed with methylates spirits, stained with polychrome methylene blue and examined under the oil immersion objective of a light microscope.
No organisms resembling anthrax were observed.
The autopsy continued.
The entire gastrointestinal tract was red but there was no blood in the gut lumen.
The spleen was enlarged and soft.
The kidneys were enlarged and congested.
The bladder was full of bloody fluid.
The lungs were consolidated with bloodstained foam in the airways.
The changes were so striking that I unsuccessfully attempted to get a camera to record them.
A range of samples were collected for laboratory examination.
The carcass was placed in the pit about 3 metres deep.
Also because of the striking changes after field disinfection with hibitane I put my overalls, gumboots and autopsy gear into a bucket for more intensive disinfection later.
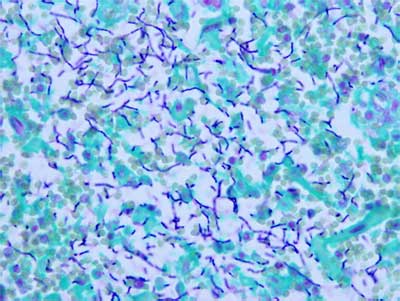
Bacilli resembling B. anthracis in all tissues, for example the spleen below.

The owner signed an undertaking and all of the sheep were vaccinated against anthrax within 24 hours.
Overalls, autopsy gear, autopsy site and the tray of the owner's ute were disinfected with 10% formalin.
The dead stock pit was filled in.
An unsuccessful attempt was made to take samples from a wether which had died a couple of days previously.
Another wether died 2 days after vaccination. Because of the striking nature of the previous post-mortem I conducted another post-mortem paying strict attention to personal protection and with a neighbouring District Veterinarian in attendance with a camera.
Once again the blood smear was negative for anthrax but the autopsy revealed a ruptured bladder with multiple struvite crystals.
The concurrent urolithiasis with a longer clinical state than is seen with anthrax resulted in the carcass being allowed to be brought into town with the potential for widespread dissemination of organisms. Fortunately this did not happen.
The false negative blood smear remains unexplained although I believe that it is due to the polychrome methylene blue being old. This is somewhat contradictory to conventional wisdom which has it that polychrome becomes better as it matures.